Offres spéciales POUR ZIRCONEs !
Bienvenue chez Manar Dental Clinic
À la Clinique Dentaire Dr. Manar Mouats, notre vision est d’offrir une dentisterie esthétique moderne alliant précision, technologie et approche humaine.
Nous nous engageons à proposer des soins personnalisés, dans un cadre professionnel et rassurant, avec des solutions adaptées aux besoins et au budget de chaque patient.
Notre objectif est simple : créer des sourires naturels, harmonieux et durables, tout en garantissant qualité, transparence et confiance.


Notre Vision



La technologie Swiss Airflow offre un nettoyage en profondeur, prouvé scientifiquement, sans détartrage agressif et avec un inconfort minime, voire nul. Cliniquement prouvé : élimine 2 fois plus de bactéries et blanchit les dents jusqu'à 4 teintes en une seule séance


Nos Services
Un cabinet dentaire à Skikda où l’élégance rencontre la précision pour sublimer votre sourire.
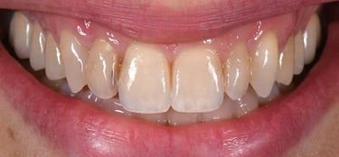
Blanchiment Dentaire Professionnel


Traitement sécurisé réalisé sous contrôle professionnel pour éclaircir efficacement la teinte des dents.




Détartrage & Nettoyage Professionnel
Élimination du tartre et de la plaque dentaire afin de préserver la santé des gencives et prévenir les maladies parodontales.
Nous améliorons l’harmonie de votre sourire grâce à des traitements esthétiques adaptés à votre morphologie et à vos attentes.
Esthétique du Sourire Personnalisée
Radiographie Rétro-Alvéolaire
La radiographie rétro-alvéolaire est un examen précis permettant de visualiser la dent dans sa totalité, y compris la racine et l’os environnant.


Couronne en Zircone
La couronne en zircone est une solution esthétique et durable pour restaurer une dent fragilisée ou abîmée
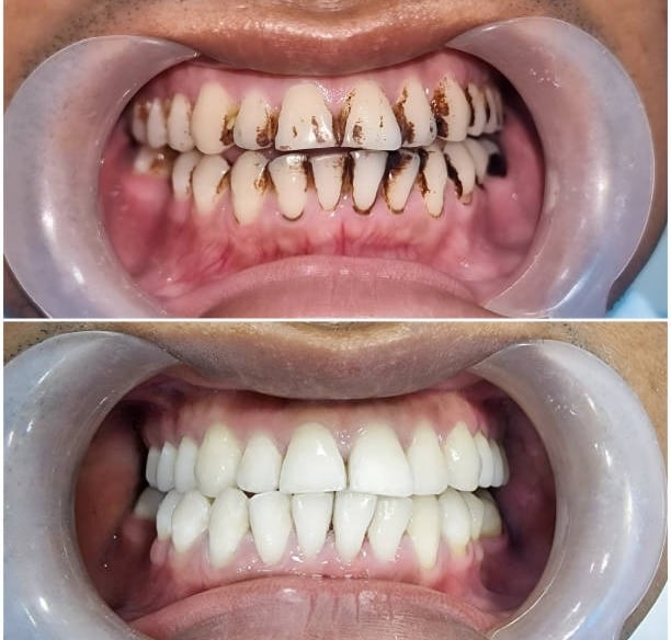
Les implants dentaires permettent de remplacer une ou plusieurs dents manquantes de manière stable et permanente.
Implants Dentaires & Prothèses Fixes




Adresse
Cité 8 Mai 1945 – Bt 13 – N°02
(700 Logements), Skikda, Algérie
Horaires
Samedi-Jeudi : 8h00-17h00
Vendredi : Fermé
Contacts
0668-86-41-78
Dentiste@manarmouats.com
Grâce au cabinet Dr Manar Mouats, Très satisfaite de mon blanchiment dentaire. Le résultat est naturel et élégant, sans effet artificiel. L’accueil est professionnel et rassurant. Je recommande vivement.
Romaissa L.
★★★★★
★★★★★
جئت بسبب ألم شديد وتم العلاج بلطف وشرح واضح لكل الخطوات. طبيبة محترفة جداً
A.Tabouche